驚くほど早く、痛みのない親知らずの抜歯

# 年中無休土日祝OK # 夜8時半まで診療 # 紹介状不要 # 柏駅から徒歩1分 # 即日・複数本抜歯OK

抜歯のために大学病院まで
長距離移動…
もう必要ありません。
「紹介状」不要、
豊富な経験と体制が
整っている
当院にお任せください。

まっすぐ生えている
親知らず抜歯

まっすぐ生えている親知らずイメージ
費用(1本) 約1,500〜2,000円
抜歯時間 約1〜5分

斜め/横向きに生えている
親知らず抜歯

斜め/横向きに生えている親知らずイメージ
費用(1本) 約1,500〜4,000円
抜歯時間 約5〜15分

歯茎に埋まっている
親知らず抜歯

歯茎に埋まっている親知らずイメージ
費用(1本) 約4,000〜5,000円
抜歯時間 約10〜30分
  • 親知らずの抜歯は保険適応治療です。上記金額は、保険3割負担での初診時での親知らず1本あたりおおよその費用です。
    費用、時間ともに親知らず・口腔内状態により少々異なる場合がございます。
  • 場合によりCT撮影(+3,500円 保険適応)
  • 初診の場合、初診料としておおよそ3,000円程度別途かかります。
  • 当院は即日抜歯、複数本での抜歯が可能ですが、患者様にリスクがあると判断した場合にはその限りではございませんのでご理解を頂けますと幸いです。

親知らずの抜歯でこんな不安ありませんか?

  1. 麻酔や抜歯は痛い?痛くない?

    注射麻酔前にまずは表面麻酔を塗布して、歯茎表面の痛覚を鈍くさせてから行いますので、麻酔時の痛みはほぼありません。そのため、抜歯時には痛みではなく引っ張られる感覚のみです。稀に麻酔が効きづらい場合がありますが、抜歯治療中にも『痛みを感じるか』お声掛けし、痛みを感じる場合には麻酔を追加します。

  2. 抜歯時間はどれくらい?長いの?

    まっすぐな親知らずの場合、早ければ10秒程度で抜けることもあります。生え方次第ではありますが、完全に埋まっている親知らずの場合でも30分あれば 大抵のものを抜歯することが可能です(1度に抜く本数によっても異なります)。

  3. 抜歯後の痛むの?腫れるの?

    抜歯後、麻酔が切れると痛みを感じてしまうため、治療終了後には痛み止め、および腫れどめのお薬を処方させていただいております。元々歯があった歯茎に穴が空くため完全に痛くないということは難しいですが、薬を服用していただくことで最小限の痛みや腫れに留めることができるのです。

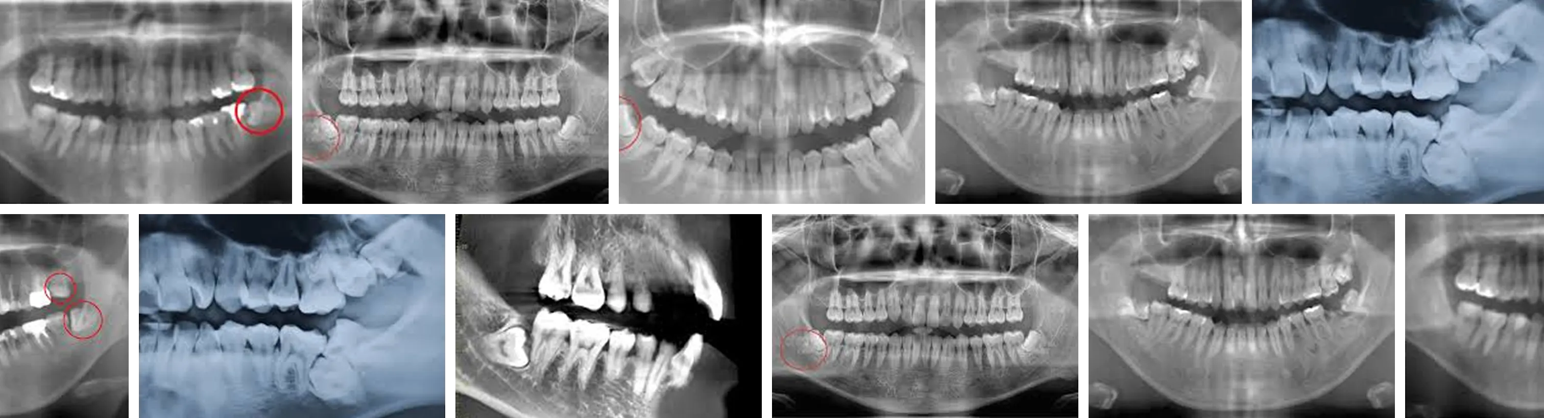
親知らず抜歯施術の様子
症例写真
結論

豊富な親知らず抜歯経験
がありますので
ご安心して
当院にお任せください

年中無休、土日祝も診療中柏駅から徒歩1分
親知らず抜歯のできる歯医者
柏モディゼロデンタルクリニックへ
ご相談ください

047-170-0166 (受付時間10:30-20:00)
予約アイコン 24時間受付
オンラインで予約
LINEアイコン LINE簡単!
友達追加して予約

Doctor
Information

柏モディゼロデンタルクリニック 院長 三好 礼

親知らずの抜歯なら
わたしにお任せください。

当院では、痛みや腫れを最小限に抑えることを第一に考え、丁寧で確実な処置を心がけています。親知らずは、まっすぐ生えているものから、横向きや埋伏している複雑なものまで様々ですが、これまで数多くの症例を経験してきましたので、どうぞ安心してお任せください。
手術前には丁寧にカウンセリングを行い、必要に応じてCTなどの精密検査も実施します。大学病院でしか抜けないと思っていた親知らずも、当院で対応できるケースは多くあります。あなたの不安にしっかり寄り添い、安心して治療を受けていただけるよう万全の体制を整えてお待ちしています。

柏モディゼロデンタルクリニック 院長 三好礼の写真

経歴

-- 筑波大学附属高校 卒業
2016年3月 東京歯科大学 卒業
2016年4月〜2017年3月 東京医科歯科大学 研修修了
2017年4月〜2022年8月 都内法人勤務
2022年1月〜2025年2月 医療法人社団翔翼会戸塚モディシティデンタルクリニック、アトレ五反田シティデンタルクリニック 副院長として勤務
2025年3月〜 柏モディゼロデンタルクリニック 開設

所属学会・認定資格

  • 厚生労働省認定 歯科医師臨床研修指導歯科医
  • 日本歯科先端技術研究所認定医
  • 臨床歯科麻酔管理指導医
  • 日本歯周病学会 会員
  • 日本口腔インプラント学会 会員
  • 日本顕微鏡歯科学会 会員
  • インビザラインGO認定医
  • 日本口腔インプラント学会 100時間コース受講
  • Dental Arts Academy マイクロコース修了
  • 歯科臨床研鑽会 マイクロコース修了
  • JIADS ペリオコース修了
  • JIADS 補綴コース修了
  • JSCT所属
柏モディゼロデンタルクリニック 副院長 荻原光博の写真

柏モディゼロデンタルクリニック 副院長 荻原 光博

お困りの際にすぐ対応。
経験豊富なわたしが担当いたします。

私自身、親知らずを抜くのにためらいがあった患者さんを多く診てきました。だからこそ、処置中の痛みはもちろん、術後の過ごしやすさまでを考えた治療を行っています。
麻酔の効かせ方や処置のスピードにも工夫を重ね、できるだけ短時間で負担の少ない抜歯を目指しています。また、処置後のケアや注意点も丁寧にご説明いたしますので、ご安心ください。 「ここで抜いて良かった」と感じていただけるよう、患者さん一人ひとりと真摯に向き合います。どんな小さな不安でも構いませんので、ぜひお気軽にご相談ください。

経歴

-- 筑波大学附属高校 卒業
2017年3月 東京歯科大学 卒業
2017年4月〜2018年3月 東京歯科大学 研修修了
2018年4月〜2024年2月 都内法人勤務
2024年3月〜2025年2月 医療法人社団翔翼会マルイ錦糸町シティデンタルクリニック副院長として勤務
2025年3月〜 柏モディゼロデンタルクリニック 副院長

所属学会・認定資格

  • 厚生労働省認定 歯科医師臨床研修指導歯科医
  • 臨床歯科麻酔管理指導医
  • 日本歯周病学会 会員
  • 日本口腔インプラント学会 会員
  • 日本顕微鏡歯科学会 会員

柏モディゼロデンタルクリニック
が選ばれる
6つの特徴

  1. Feature 1
    カレンダーに丸をつける写真

    行きたいときにいつでも通える
    『年中無休』
    予約なしでもOK

    土日祝日問わず10:30〜20:30でノンストップで診療を行なっております。お昼時にも診療しておりますので、お仕事のお昼休憩時にも通いやすい歯医者です。

  2. Feature 2
    柏モディ内観写真

    『駅チカ』柏モディ5階で
    アクセス抜群
    大型駐車場完備

    柏駅南口から徒歩2分の駅チカ(JR、東武アーバンパークライン南口から109m)!お買い物やお仕事帰りにも通いやすい立地です。お車でお越しの方は、柏モディの地下駐車場をご利用いただけます。

  3. Feature 3
    治療中の写真

    痛みへの『徹底的な配慮』で
    患者様に負担のない
    治療と空間

    患者様が最も歯医者で気になる点は「痛み」だと感じています。当院では、そのイメージを払拭すべく『徹底的な痛み配慮』を行なっております。

  4. Feature 4
    個室の施術室の写真

    人の目を気にしない
    『完全個室』の
    プライベート空間での診療

    当院は診療する全室が完全個室のプライベート空間です。これは『痛みへの配慮』へ繋がります。人の目は知らず知らずストレスとなることがあります。

  5. Feature 5
    最新の治療機器の写真

    日々『新しい技術や機器の導入』

    患者様に選択肢と
    適切な診療を

    当院では可能な限り多様な選択肢を患者様へご提案したいと考えております。そのため、日々アップデートされる技術や新しい機器を取り入れ導入することは、医療に携わる者として当然だと考えています。

  6. Feature 6
    空気清浄機の写真

    常に『クリーンで清潔』
    過ごしやすい院内と
    衛生面への徹底した配慮

    医療現場とは得てして、清潔であることが重要だと考えております。2019年12月ごろより流行した新型コロナウイルス感染症(COVID-19)もしかり、メディカルライトエアーを導入した清浄な空間での医療を当院では取り入れています。

こんなご不安はありませんか?

親知らずの抜歯は痛いですか? 解答の開閉ボタン
抜歯の際には、まず表面麻酔を行い、その後に注射による局所麻酔をしっかりと効かせますので、治療中に痛みを感じることはほとんどありません。処置中は「押される感覚」や「ギリギリとした振動」を感じることがありますが、痛みではありませんのでご安心ください。患者さんの表情や反応を見ながら進めますので、違和感があれば遠慮なくお伝えください。
抜歯後はどのくらい痛みますか? 解答の開閉ボタン
抜歯当日は麻酔が効いているため痛みはありませんが、麻酔が切れた後に痛みや腫れを感じることがあります。そのため、痛み止めと腫れ止めのお薬を処方いたしますので、適切に服用していただければ強い痛みに悩まされることはほとんどありません。症状は通常1~3日で落ち着いてきますので、安心してお過ごしください。
親知らずの根が深い場合でも
抜けますか? 解答の開閉ボタン
歯根がしっかりしている、もしくは曲がっている場合には、抜歯の際に「ギリギリ」とした音がすることがありますが、痛みはありません。当院では事前にレントゲンやCT撮影を行い、歯の位置や根の形を確認したうえで、慎重に治療を行いますのでご安心ください。必要に応じて分割して抜くなど、的確な方法で対応します。
親知らずは一度に何本まで
抜けますか? 解答の開閉ボタン
お口の状態や歯の生え方によって異なりますが、痛みや腫れの負担を考慮すると、基本的には左右どちらか片側の上下1~2本までの抜歯をおすすめしています。特に痛みや麻酔に不安がある方には、無理に複数本を抜かず、段階的に進める方法が安心です。無理のない治療計画をご提案しますのでご相談ください。
抜歯当日は食事や運動に
制限はありますか? 解答の開閉ボタン
抜歯後は麻酔が切れたあとの感覚の違いや出血のリスクがあるため、当日は柔らかい食事をゆっくりと摂るようにしてください。激しい運動や長時間の入浴、アルコール摂取は血流が良くなって出血を促す可能性があるため、控えていただくことをおすすめします。安心して回復いただけるよう、詳しい注意事項はスタッフが丁寧にご説明します。

年中無休、土日祝も診療中柏駅から徒歩1分
親知らず抜歯のできる歯医者
柏モディゼロデンタルクリニックへ
ご相談ください

047-170-0166 (受付時間10:30-20:00)
予約アイコン 24時間受付
オンラインで予約
LINEアイコン LINE簡単!
友達追加して予約
診療時間
10:30-20:30
年中無休 土日祝診療 昼休憩なし
047-170-0166 (受付時間10:30-20:00)
クリニックまでの地図
〒277-0005 千葉県柏市柏1丁目2−26 5階
  • 電車のアイコン JR常磐線 柏駅南口 徒歩2分
  • 車のアイコン マルイ・モディ地下駐車場完備
Google Mapでみる

患者様の満足度調査を
実施しております。

少しでも患者様にとってより良い⻭科医療を提供するため、 第三者機関のNPO法人 日本⻭科医療評価機構に依頼をし、 患者様の満足度調査を行っています。 患者様の率直なご意見をいただき、 改善すべき点は真摯に受け止めていきたいと思っています。 当院には患者様の個人情報は一切伝えられませんので、 是非、皆様の忌憚のないご意見をお聞かせください。 NPO法人 日本⻭科医療評価機構の調査結果はバナーよりご確認ください。

日本歯科医療評価機構 第三者機関による患者様アンケート結果はこちら ※日本⻭科医療評価機構とは
日本⻭科医療評価機構は、ネットで⻭医者を検索してみたが、どこに行けばいいか分からない、 診療時間や場所のメリットだけではなく、本当に信頼して通える⻭医者を探したい、 そんな患者様のために本当に信頼して通える⻭科医院を評価・認定することを目的とした組織です。